Oldal kiválasztása
A limfóma tünetei és kezelése mellkasban

A limfóma tünetei és kezelése mellkasban

A limfóma egy, a limfocitákból kiinduló rosszindulatú daganatos megbetegedés, amely a nyirokrendszerben számos ponton alakulhat ki. Különösen aggasztóvá válik, amikor a mellkas üregében, jelentős anatómiai struktúrák közelében manifesztálódik. A mellkasi limfómák nem...
Limfóma mellkasban: tünetek, kezelés, prognózis

Limfóma mellkasban: tünetek, kezelés, prognózis

A mellkasi limfóma, más néven mediastinalis limfóma, a nyirokrendszer daganatos megbetegedése, amely a mellkas üregében, a tüdőtartó térben (mediastinum) található nyirokcsomókban alakul ki. Ez a régió esszenciális szerepet játszik a szervezet védekezési rendszerében,...
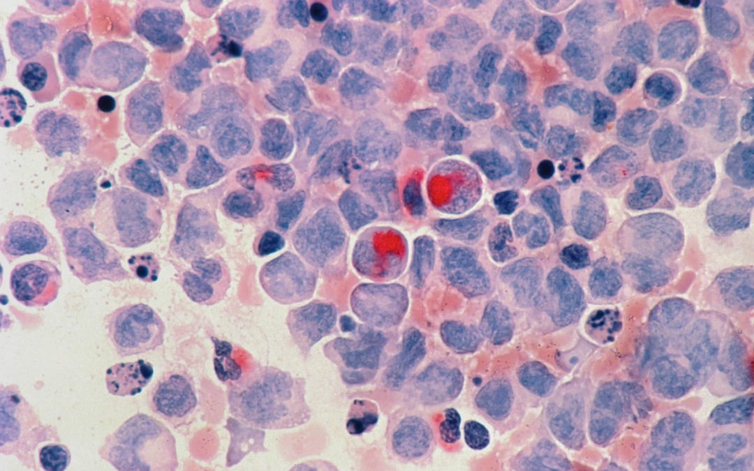
A limfóma Wikipédián: Mindent, amit tudnod kell

A limfóma Wikipédián: Mindent, amit tudnod kell

!Lymphoma Limfóma: Az Érthető és Átfogó Útmutató A limfómák a limfatikus rendszer rosszindulatú daganatai, amely a szervezet immunrendszerének kulcsfontosságú része. Ezen betegségek megértése létfontosságú mind az érintettek, mind környezetük számára. Ez az átfogó...
A b típusú limfóma kezelési lehetőségei

A b típusú limfóma kezelési lehetőségei

Az alábbiakban egy részletes cikk olvasható a B-sejtes limfóma kezelési lehetőségeiről, magyar nyelven, a megadott utasítások szerint. FAQsMi az a B típusú limfóma? A B típusú limfóma a nyirokrendszer daganatos megbetegedése, amely a B-sejtekből, egyfajta...
A limfóma kemoterápia hatékonysága

A limfóma kemoterápia hatékonysága

A Limfóma Kemoterápia Hatékonysága: Mélyreható Elemzés és Stratégiák A limfóma, mint a nyirokrendszer malignus daganata, jelentős népegészségügyi kihívást képvisel világszerte. Az orvostudomány és a kutatás folyamatos fejlődése révén a kezelési módszerek is...
A limfómás csomó kezelése és tünetei

A limfómás csomó kezelése és tünetei

FAQsMi az a limfómás csomó? A limfómás csomó egy olyan megnagyobbodott nyirokcsomó, amely limfómás sejtekből áll, vagyis a nyirokrendszer rosszindulatú daganatos elváltozásának jele lehet. Milyen tüneteket okozhat a limfómás csomó? A limfómás csomó általában...